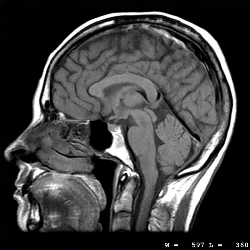
Most people will only ever see one of these MRI scans if there is a problem… but scientists have been using them more frequently over the last twenty years to study normal brain function and structure as well.

bookmarks that enhance your reading experience
Most people will only ever see one of these MRI scans if there is a problem… but scientists have been using them more frequently over the last twenty years to study normal brain function and structure as well.
